Введение
Нарушение плотности костной ткани челюстей рассматривается не только как фактор риска неудачного остеоинтеграционного ответа на имплантат, но и как маркер системных нарушений минерального обмена. Оценка плотности костной ткани представляет собой один из ключевых этапов при планировании хирургической фазы несъемного протезирования с опорой на дентальные имплантаты [1–3].
Современные представления о ремоделировании и регенерации костной ткани подчеркивают ее высокую чувствительность к внешним и внутренним воздействиям, включая изменения кислородного режима, механические нагрузки и применение различных остеокондуктивных и остеоиндуктивных материалов. Одним из ключевых факторов, определяющих структурно-функциональное состояние кости, является баланс между процессами резорбции и костеобразования, который может существенно изменяться под влиянием гипоксических условий и использования барьерных мембран в реконструктивной хирургии [4; 5; 6, с. 256].
Среди современных методов оценки морфофункционального состояния кости особое место занимает конусно-лучевая компьютерная томография с ее высокой информативностью и возможностью количественной оценки плотности кости. На основе КЛКТ-данных определяется биотип кости, классификация которого (D1–D5) предложена C.E. Misch. Misch выделил диапазоны плотности в единицах Хаунсфилда (HU) для пяти типов кости, что позволило установить зависимость между типом ткани и ее плотностью. Учет этой корреляции в клинической практике делает планирование имплантации более точным [7–9].
Современная дентальная имплантология и челюстно-лицевая хирургия опираются на многофакторный подход к оценке анатомических, морфометрических и структурно-функциональных характеристик костной ткани. Точность предоперационного планирования и прогнозирование успешной остеоинтеграции во многом определяются качеством визуализации, пониманием вариабельности анатомии и дифференциальной диагностики костных структур. В последние годы особое внимание уделяется комплексному анализу данных компьютерной томографии, что позволяет существенно расширить представления о морфологии нижней челюсти, плотности костных включений и особенностях их клинической интерпретации [10–12].
Субпериостальный имплантат – индивидуально изготовленный металлический каркас, устанавливаемый на поверхность челюстной кости под надкостницу. Он чаще применяется при выраженной атрофии альвеолярного отростка, когда установка внутрикостных имплантатов невозможна без предварительного наращивания кости. В таких случаях субпериостальная имплантация является альтернативным решением [13; 14].
Современные подходы к дентальной имплантации все более ориентированы на персонализацию лечения, основанную на глубоком анализе морфологических особенностей челюстных костей и применении высокотехнологичных конструкций, адаптированных к индивидуальной анатомии пациента. Сочетание трехмерной визуализации, цифровых технологий и усовершенствованных имплантационных систем позволяет расширить показатели успешности лечения даже у пациентов с выраженной атрофией альвеолярного гребня, ранее считавшихся трудными или нереконструируемыми случаями [15; 16].
Цель исследования – определение плотности костной ткани верхней челюсти и выявление половых и возрастных особенностей ее распределения, а также демонстрация применения субпериостальной имплантации при выраженной атрофии челюстной кости.
Материалы и методы исследования
Авторами проведена оценка биотипов костной ткани в области зубов верхней челюсти у мужчин и женщин различных возрастных групп на основе данных КЛКТ, с целью определения половых и возрастных особенностей, влияющих на морфологические характеристики альвеолярного отростка. Анализ плотности костной ткани в области жевательной группы зубов верхней челюсти проводился по данным конусно-лучевой компьютерной томографии с определением показателей в единицах Хаунсфилда (HU). В исследование были включены пациенты обоего пола в возрасте от 45 до 50 лет. Всего проанализировано 50 томограмм: 25 мужских и 25 женских (табл. 1).
Таблица 1
Определение плотности кости при помощи КТ, в единицах Хаунсфилда (в норме)
|
D1 |
> 1250 HU |
|
D 2 |
850–1250 HU |
|
D 3 |
350–850 HU |
|
D 4 |
150–350 HU |
|
D 5 |
> 150 HU |
Примечание: составлена авторами на основе источника: Misch, 2008.
Результаты исследования и их обсуждение
Результаты исследования плотности костной ткани верхней челюсти в области жевательных зубов у пациентов 45–50 лет
Исходя из данных, представленных в табл. 2, у мужчин показатели плотности костной ткани варьировали в диапазоне от 520 до 720 HU, со средним значением 645±35 HU. Наиболее высокие значения плотности были зарегистрированы в области второго моляра (в среднем 685 HU), тогда как в области первого премоляра наблюдались несколько сниженные показатели (в среднем 610 HU).
Таблица 2
Показатели плотности костной ткани (HU) в области жевательных зубов верхней челюсти у пациентов 45–50 лет
|
Пол |
Среднее ± SD (HU) |
Диапазон (мин–макс), HU |
|
Мужчины (n = 25) |
645±35 |
520–720 |
|
Женщины (n = 25) |
575±40 |
460–640 |
Примечание: составлена авторами на основе полученных данных в ходе исследования.
У женщин аналогичного возраста плотность костной ткани колебалась от 460 до 640 HU, среднее значение составило 575±40 HU. Максимальные показатели зафиксированы в области второго премоляра (в среднем 610 HU), а минимальные – в зоне первого моляра (в среднем 545 HU).
Сравнительный анализ выявил статистически значимую тенденцию к более высокой плотности костной ткани у мужчин по сравнению с женщинами в пределах возрастной группы 45–50 лет. Эти различия могут быть обусловлены как анатомо-физиологическими особенностями строения челюстей, так и общими параметрами минеральной плотности скелета, присущими каждому полу.
Таким образом, у мужчин 45–50 лет общая минеральная плотность костной ткани в области жевательных зубов статистически выше, чем у женщин того же возраста. Наибольшие половые различия отмечены в области моляров: у мужчин плотность второго моляра превышает среднюю на 40 HU по сравнению с женщинами.
У женщин наиболее «плотная» зона – область второго премоляра; у мужчин – область второго моляра. При планировании имплантологических вмешательств в данной возрастной группе необходимо учитывать как общий уровень плотности кости, так и ее региональные колебания в зависимости от пола.
Результаты исследования продемонстрировали статистически значимые различия в минеральной плотности костной ткани между мужчинами и женщинами. Для анализа данных можно использовать моделирование или начать с типичных значений, применяя t-тест для вычислений. Например, можно рассмотреть разницу в 70 HU (645 против 575) с p < 0,01 или 40 HU с p = 0,02, основываясь на приблизительных данных.
Сравнение средних значений минеральной плотности костной ткани в области жевательных зубов верхней челюсти у мужчин (645±35 HU) и женщин (575±40 HU) в возрастной группе 45–50 лет было проведено с использованием критерия Стьюдента для независимых выборок. Полученные результаты показали статистически значимое различие (t = 4,12; df = 18; p < 0,001), что указывает на достоверно более высокую плотность у мужчин. Региональный анализ выявил наибольшие половые различия в области второго моляра: средняя плотность у мужчин (685 ± 30 HU) превышала таковую у женщин (645 ± 28 HU) на 40 HU, и эта разница также оказалась статистически значимой (t = 2,85; df = 18; p = 0,01).
Таким образом, при планировании имплантологических вмешательств в возрастной группе 45–50 лет необходимо учитывать не только общий уровень минеральной плотности кости (p < 0,001), но и региональные колебания (p = 0,01), зависящие от пола.
Субпериостальный имплантат – это тип дентального имплантата, который размещается под надкостницей (субпериостально), но над костью челюсти, и чаще применяется в случаях выраженной атрофии альвеолярного отростка, когда установка внутрикостных имплантатов невозможна без костной пластики.
Традиционный субпериостальный имплантат
Субпериостальный имплантат – это индивидуально изготовленный металлический каркас, который устанавливается на поверхность челюстной кости под надкостницу. Он служит опорой для фиксации зубных протезов у пациентов с выраженной атрофией альвеолярного гребня. Традиционный субпериостальный имплантат изготавливается по оттиску кости челюсти, полученному в ходе хирургического вмешательства. Имплантат представляет собой металлическую рамку с выступающими над слизистой опорами (постами), на которые в дальнейшем крепится протез. Обычно изготавливается из титана или хромокобальтового сплава.
Процесс установки:
1. Первый этап – хирургическое вскрытие слизистой и снятие оттиска с поверхности кости.
2. Изготовление имплантата по модели челюсти.
3. Второй этап – повторное хирургическое вмешательство: установка имплантата под надкостницу, фиксация, ушивание мягких тканей так, чтобы опоры выступали в полость рта.
Преимущества:
− Возможность протезирования при выраженной атрофии кости без костной пластики.
− Индивидуальное изготовление конструкции под анатомию пациента.
Недостатки:
− Необходимость двух хирургических вмешательств.
− Более высокий риск инфекционных осложнений.
− Умеренная инвазивность.
− Редкое применение в современной имплантологии, вытеснен более современными методами.
С учетом вышеуказанных недостатков традиционного субпериостального метода, таких как необходимость двукратного хирургического вмешательства, высокая травматичность и риск осложнений, в последние годы все более активно внедряются цифровые технологии, позволяющие осуществлять имплантацию в один этап. Современные методы трехмерной визуализации, компьютерной томографии и CAD/CAM-проектирования дают возможность изготавливать индивидуальные субпериостальные имплантаты по цифровому протоколу без необходимости открытого снятия слепка с кости.
Клинический пример
Пациент: мужчина, 67 лет, с частичной адентией нижней челюсти и выраженной атрофией альвеолярного отростка (по Cawood and Howell – класс VI). В анамнезе – длительное ношение съемного протеза, отказ от костной пластики по медицинским показаниям.
При проведении 3D-компьютерной томографии у пациента было выявлено, что высота и ширина альвеолярного отростка в предполагаемых зонах имплантации превышают 5 мм. Пациент отказался от проведения синус-лифтинга, в связи с чем было принято решение в пользу субпериостальной имплантации как альтернативного метода восстановления жевательной функции и объема кости без необходимости дополнительных костнопластических вмешательств.
Изготовление субпериостального имплантата с применением цифровых технологий представляет собой современный и высокоэффективный процесс, включающий несколько ключевых этапов: сканирование и получение 3D-модели.
На первом этапе проводится конусно-лучевая компьютерная томография (КЛКТ) челюсти пациента (рис. 1). Полученные данные позволяют создать точную трехмерную модель анатомии челюстной кости, что обеспечивает высокую точность последующего проектирования имплантата.
Данная анатомическая особенность ограничивает возможность проведения традиционной эндооссальной имплантации без предварительного костного наращивания. В подобных клинических ситуациях субпериостальная имплантация рассматривается как эффективная альтернатива, позволяющая восстановить жевательную функцию без необходимости проведения синус-лифтинга или других объемных костнопластических вмешательств.

Рис. 1. На рентгенограмме выявлена выраженная атрофия альвеолярного отростка верхней челюсти, характеризующаяся значительным снижением высоты и ширины костной ткани (фото авторов)
На основании полученных диагностических данных, включая результаты конусно-лучевой компьютерной томографии (КЛКТ) и/или внутриротового 3D-сканирования, осуществляется построение цифровой трехмерной модели челюсти пациента. Эта модель служит основой для последующего проектирования индивидуального субпериостального имплантата с применением специализированного программного обеспечения CAD (рис. 2).

Рис. 2. Проектирование субпериостального имплантата с использованием CAD-технологий (фото авторов)
Использование CAD-систем позволяет учитывать индивидуальные анатомические особенности пациента, такие как форма и объем альвеолярного отростка, а также расположение важных анатомических структур. Это обеспечивает оптимизацию дизайна имплантата для максимального соответствия и стабильности после установки. Кроме того, цифровое моделирование позволяет предварительно оценить посадку имплантата и внести необходимые коррективы до этапа изготовления, что повышает точность и предсказуемость хирургического вмешательства.
Таким образом, применение CAD-технологий в проектировании субпериостальных имплантатов способствует индивидуализации лечения, повышает точность и эффективность хирургических процедур, а также улучшает клинические и эстетические результаты.
3D-печать имплантата. После завершения этапа цифрового проектирования полученная модель субпериостального имплантата экспортируется в формат, совместимый с аддитивными производственными технологиями, и передается на 3D-принтер. Изготовление осуществляется из биосовместимых материалов, таких как медицинский титан или специализированные полимерные композиции, соответствующие требованиям прочности и биоинертности (рис. 3). Применение 3D-печати обеспечивает высокую точность воспроизведения анатомической формы, а также возможность создания сложных геометрических конструкций, что особенно важно при индивидуализированном подходе к имплантологическому лечению. Данный метод позволяет минимизировать погрешности изготовления и повысить качество посадки конструкции в операционной области (рис. 4).

Рис.3. Изготовленный субпериостальный имплантат (фото авторов)

Рис. 4. Стабилизирующие балки (фото авторов)
Подготовка и установка имплантата. После изготовления субпериостальный имплантат подвергается финишной механической обработке и обязательной стерилизации в соответствии с протоколами асептики и антисептики. Это обеспечивает его биологическую безопасность и готовность к клиническому применению.
Хирургическая установка имплантата проводится в условиях операционной. В ряде случаев возможно применение минимально инвазивных методов вмешательства, что способствует снижению операционной травмы, уменьшению риска послеоперационных осложнений и сокращению сроков реабилитации пациента. Индивидуальная точность изготовления конструкции обеспечивает ее плотное прилегание к кости, повышая стабильность фиксации и предсказуемость лечения (рис. 5).

Рис. 5. Процесс установки субпериостального имплантата (фото авторов)
Послеоперационное наблюдение. После установки имплантата необходимо осуществлять регулярный мониторинг его состояния и оценки процесса интеграции с костной тканью. Контроль включает плановые рентгенологические исследования (в том числе прицельную рентгенографию или КЛКТ) и клиническое наблюдение за состоянием окружающих мягких тканей, стабильностью имплантата и отсутствием признаков воспаления. Такой подход позволяет своевременно выявить возможные осложнения и обеспечить успешный исход лечения (рис. 6).
Результаты лечения: пациент отметил значительное улучшение жевательной функции и качества жизни; через 6 месяцев наблюдения – стабильное состояние слизистой, отсутствие признаков воспаления, протез функционирует эффективно. Таким образом, одноэтапная цифровая субпериостальная имплантация представляет собой эффективную альтернативу при выраженной атрофии альвеолярного отростка у пациентов, не являющихся кандидатами на костную пластику. Современные технологии позволяют значительно снизить инвазивность процедуры, повысить точность и предсказуемость лечения.
После установки субпериостального имплантата осуществляется послойное ушивание операционной раны с наложением швов, обеспечивающих герметичное закрытие мягких тканей над имплантатом. Это способствует созданию благоприятных условий для заживления и снижает риск инфицирования хирургической области.

Рис. 6. Послеоперационный этап (фото авторов)

Рис. 7. После снятия швов через 10 дней (фото авторов)

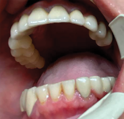
Рис. 8. После установки протеза (фото авторов)
Снятие швов проводится через 10 дней после оперативного вмешательства, при условии отсутствия признаков воспаления и удовлетворительного заживления мягких тканей в области установки имплантата (рис. 7, 8).
Заключение
Субпериостальная имплантация с применением цифровых технологий представляет собой эффективную альтернативу традиционным методам восстановления зубного ряда у пациентов с выраженной атрофией альвеолярного отростка, для которых противопоказаны объемные костнопластические операции.
Использование CAD/CAM-систем и 3D-печати обеспечивает высокую точность проектирования и изготовления индивидуальных имплантатов, что способствует улучшению клинических и функциональных результатов лечения. Регулярное послеоперационное наблюдение и рентгенологический контроль позволяют своевременно оценить процесс остеоинтеграции и минимизировать риск развития осложнений.
Представленный клинический случай демонстрирует высокую клиническую эффективность и прогностическую надежность метода субпериостальной имплантации в условиях выраженного дефицита костной ткани.
Конфликт интересов
Библиографическая ссылка
Ешиев А.М., Абирова Р.Э. ОЦЕНКА БИОТИПОВ КОСТНОЙ ТКАНИ В ОБЛАСТИ ЖЕВАТЕЛЬНЫХ ЗУБОВ ВЕРХНЕЙ ЧЕЛЮСТИ У МУЖЧИН И ЖЕНЩИН РАЗЛИЧНЫХ ВОЗРАСТНЫХ ГРУПП С ПРИМЕНЕНИЕМ КОНУСНО-ЛУЧЕВОЙ КОМПЬЮТЕРНОЙ ТОМОГРАФИИ // Научное обозрение. Медицинские науки. 2025. № 6. С. 5-11;URL: https://science-medicine.ru/ru/article/view?id=1460 (дата обращения: 06.05.2026).
DOI: https://doi.org/10.17513/srms.1460
science-review.ru